綻放自信笑容,從齒開始閃耀

薇拉牙醫診所
您是否曾因牙齒的顏色而感到不夠自信?無論是長年累積的色素沉澱、天生的牙齒偏黃,或是其他原因造成的牙齒變色,薇拉牙醫診所的專業牙齒美白療程都能幫助您擺脫困擾,讓您的笑容煥發亮白光彩,提升整體魅力。
為什麼需要牙齒美白?
潔白的牙齒是自信笑容的重要元素。透過牙齒美白,您可以有效去除牙齒表面的染色和深層的色素沉澱,讓牙齒恢復原有的亮白,甚至更白皙。這不僅能改善您的外在形象,更能提升您的自信心,讓您在社交、工作等場合更加光彩奪目。
薇拉牙醫牙齒美白的優勢:
專業安全,效果顯著:
在牙醫師的專業評估與操作下進行美白療程,能確保安全有效,達到理想的美白效果,避免自行使用偏方或來路不明產品可能造成的傷害。
客製化療程,滿足不同需求:
我們的醫師會根據您的牙齒狀況、變色程度和期望的美白效果,量身打造最適合您的美白方案。
多種美白方式選擇:
薇拉牙醫診所提供多種牙齒美白方式,包括診間冷光美白、居家美白等,您可以根據自己的時間、預算和喜好選擇最適合的方式。
快速有效,節省時間(診間冷光美白):
診間冷光美白療程通常在短時間內即可完成,效果顯著,非常適合追求快速美白效果的您。
溫和舒適,減少不適感:
我們選用溫和的美白藥劑,並在療程中採取保護措施,盡可能減少您的不適感。
提升自信,展現魅力:
擁有一口潔白的牙齒,能讓您更自信地展露笑容,提升個人魅力。
專業諮詢與術後指導:
我們的醫師會提供詳細的美白諮詢,並在療程後指導您如何維持美白效果,讓您的亮白笑容更持久。
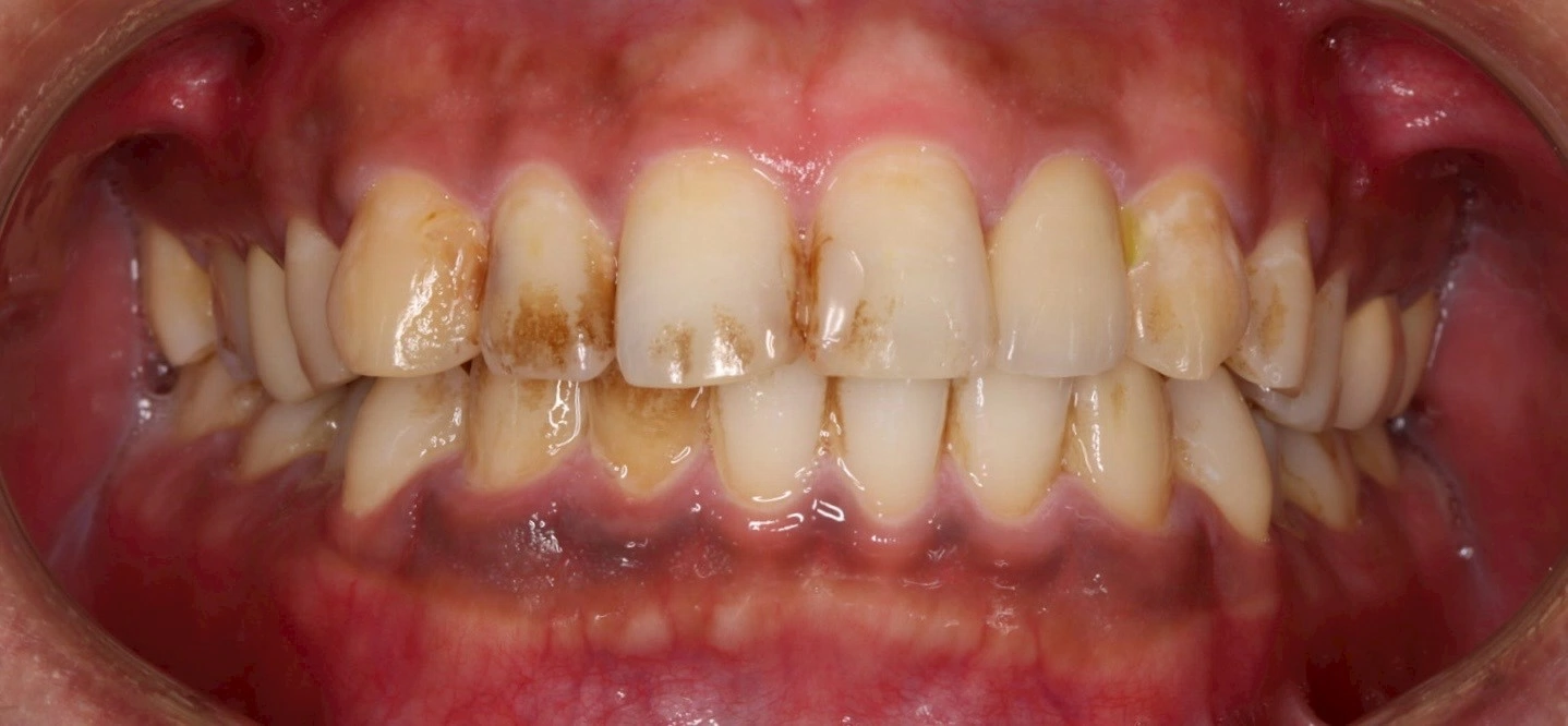
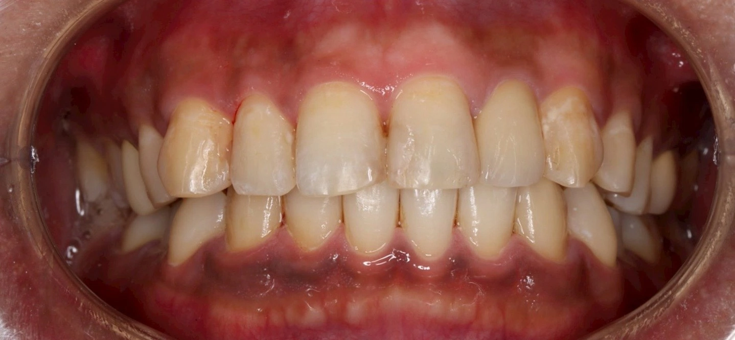
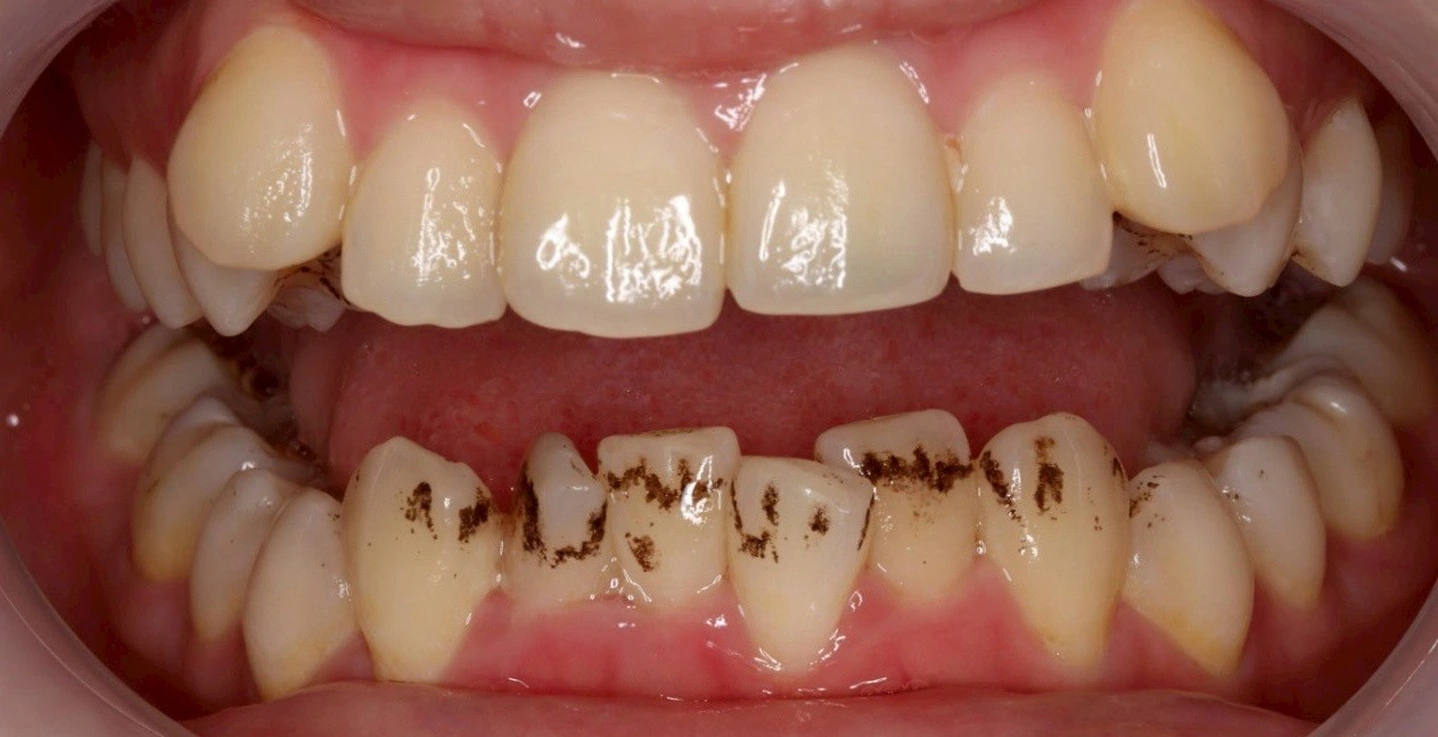
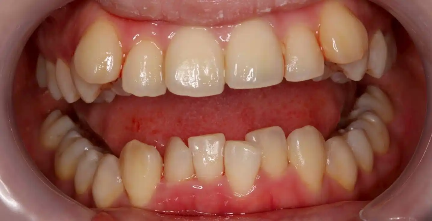
案例分享
案例1:噴砂美白




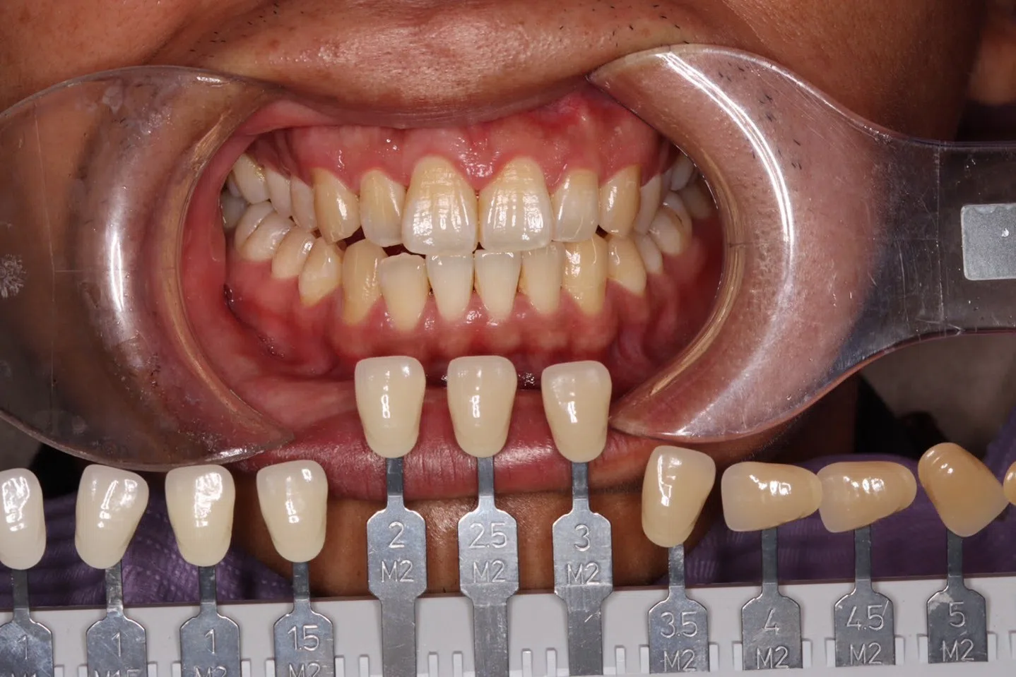
案例2:冷光美白




薇拉牙醫常見的牙齒美白方式:
診間冷光美白:
由專業牙醫師操作,在牙齒表面塗抹美白藥劑後,利用特定波長的光線照射,加速藥劑的氧化還原反應,快速分解色素,達到美白效果。療程時間短,效果顯著。
居家美白:
醫師會為您製作個人專用的美白牙托,並提供安全有效的美白藥劑。您可以在家中按照醫師的指示自行使用,逐步達到美白效果。居家美白療程較溫和,時間較長,但可在舒適的環境下進行。
薇拉牙醫牙齒美白流程:
- 專業諮詢與評估: 我們的醫師會詳細檢查您的牙齒狀況,包括牙齒顏色、是否有蛀牙或牙周病等,並了解您的美白期望。
- 選擇美白方式: 醫師會根據您的狀況和需求,推薦適合您的美白方式,並詳細說明療程的步驟、效果和注意事項。
- 診間美白療程(若選擇): 進行牙齒清潔後,醫師會在您的牙齦周圍做好保護措施,然後在牙齒表面塗抹美白藥劑,並使用冷光儀照射。
- 居家美白指導(若選擇): 醫師會提供您專用的美白牙托和藥劑,並詳細指導您正確的使用方法和注意事項。
- 術後護理指導: 無論選擇哪種美白方式,醫師都會提供您術後的護理指導,幫助您維持美白效果。
- 定期回診追蹤: 我們會建議您定期回診,讓醫師評估美白效果並提供必要的維護建議。
讓薇拉牙醫為您的笑容注入亮白光彩
如果您渴望擁有更潔白、更自信的笑容,薇拉牙醫診所的專業牙齒美白療程將是您的理想選擇。我們的專業團隊將以安全有效的方式,幫助您實現擁有亮麗笑容的願望。



