為您打造自然、堅固、美麗的皓齒

薇拉牙醫診所
當您的牙齒因蛀牙、斷裂、磨損或顏色不佳等問題影響美觀與功能時,全瓷牙冠提供了一個理想的修復方案。薇拉牙醫診所採用高品質的全瓷材料與精湛的工藝技術,為您量身打造自然透亮、堅固耐用的全瓷牙冠,讓您的笑容煥發自信光彩。
什麼是全瓷牙冠?
全瓷牙冠是一種完全由陶瓷材料製成的牙齒修復體。相較於傳統的金屬烤瓷牙冠,全瓷牙冠不含金屬內冠,因此擁有更優異的生物相容性與美觀性,能呈現出如同真牙般的自然色澤與透光度,是追求高品質牙齒修復患者的首選。
薇拉牙醫全瓷牙冠的優勢:
極致美觀,宛如真牙:
全瓷材料具有與天然牙釉質相似的光澤與透光性,能完美融入您的自然牙列,達到以假亂真的效果,讓您自信展現笑容。
優異的生物相容性:
全瓷材料不含金屬成分,減少了牙齦過敏或變色的風險,對人體組織更溫和,生物相容性極佳。
堅固耐用,恢復咀嚼功能:
高品質的全瓷材料經過精密製作,具有足夠的強度與耐磨性,能承受日常咀嚼的力量,恢復您正常的咬合功能。
不影響牙齦健康:
全瓷牙冠邊緣的密合度高,不易藏污納垢,有助於維持牙齦的健康,避免牙齦發炎或萎縮。
顏色穩定,不易變色:
全瓷材料的化學性質穩定,不易受到食物或飲料色素的染色,能長時間保持美觀的色澤。
適用範圍廣泛:
全瓷牙冠適用於修復嚴重蛀牙、根管治療後的牙齒、斷裂或缺損的牙齒,以及改善牙齒形狀、大小或顏色不佳等問題。
數位化精準製作:
薇拉牙醫診所採用數位印模技術和CAD/CAM電腦輔助設計與製造系統,確保全瓷牙冠的精準度與密合度。
案例分享
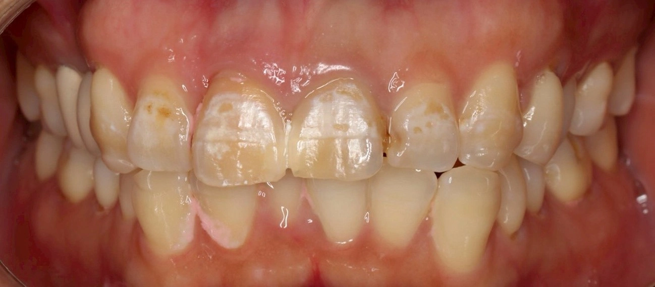
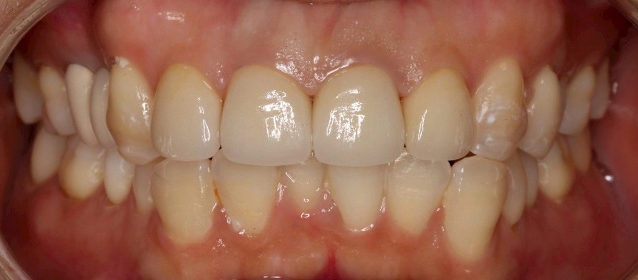
案例1:牙齒染/脫鈣/蛀牙/大小排列不一(全瓷冠修復)


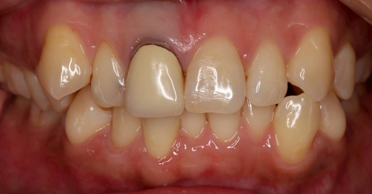
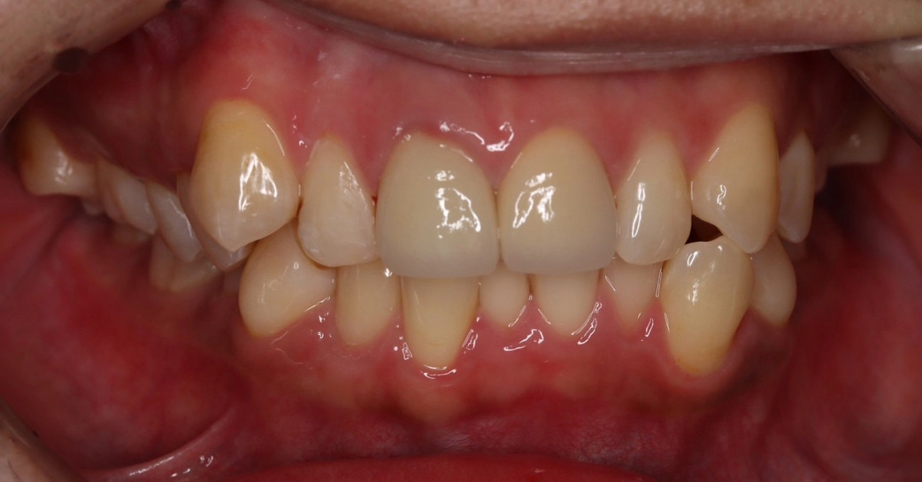
案例2:舊金屬燒瓷牙冠不密合牙齦暗沉(全瓷冠修復)


薇拉牙醫全瓷牙冠的製作流程:
- 詳細檢查與評估: 我們的專業醫師會進行全面的口腔檢查,評估您的牙齒狀況,並與您充分溝通,了解您的需求與期望。
- 牙齒修磨與數位印模: 醫師會根據需要修磨牙齒,並使用先進的口內掃描儀獲取精確的牙齒數位模型,取代傳統的不適感印模。
- 電腦輔助設計(CAD): 醫師或技師會根據您的牙齒模型和鄰近牙齒的形態、顏色等因素,利用專業軟體設計出最適合您的全瓷牙冠。
- 電腦輔助製造(CAM): 設計完成後,將數位檔案傳輸至精密的牙科研磨機,利用高品質的全瓷材料精準製作出牙冠。
- 試戴與調整: 製作完成的全瓷牙冠會在您的口內進行試戴,醫師會仔細檢查牙冠的密合度、咬合和美觀度,並進行必要的調整。
- 黏著: 確認牙冠完全符合要求後,醫師會使用專用的黏著劑將全瓷牙冠牢固地黏著在您的牙齒上。
為您的笑容,選擇薇拉牙醫的高品質全瓷牙冠
如果您追求自然美觀、堅固耐用的牙齒修復方案,薇拉牙醫診所的全瓷牙冠將是您的理想選擇。我們以專業的技術和對美學的極致追求,為您打造如同天生般的亮麗皓齒,讓您自信展現迷人笑容。



